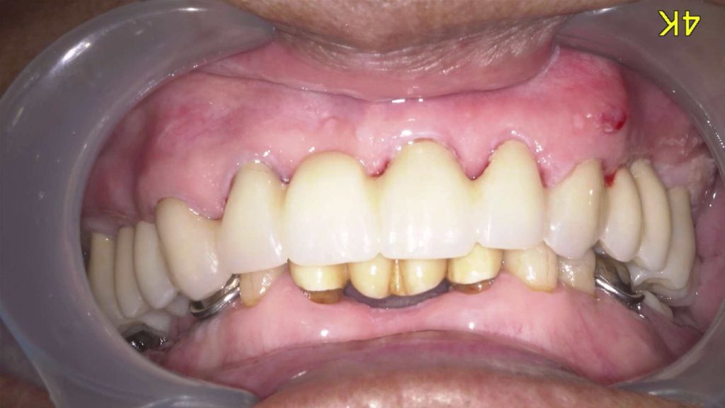
インプラントでかみ合わせを全体的に治療している症例(現在進行中)

現在のインプラントにて治療中の患者様です。情報を少しづつ報告していきます。