インプラント治療について

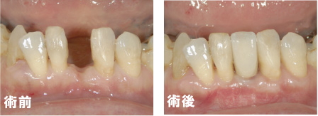
歯を失っても、おいしい食事や豊かな毎日を楽しみたい方に人工の歯根をアゴの骨の中に植え込む手術です。
インプラントと骨が一体になり、歯と同じように、しっかり噛むことができるようになります。
すなわち、
歯がない所に歯が出来ます
失った歯がよみがえります
入れ歯をする必要がなくなります
両わきの歯を削っての、ブリッジをすることもなくなります
しかし、術後すぐに歯が入るわけではありません。
最短、2ケ月~6ケ月の固定期間が必要です。
あせらず、じっくりお待ち頂け、しかし以前のように何でもしっかり噛みたい方にぴったりの治療方法です。
インプラントの適応
- 一番奥の歯が抜けていて、ブリッジができない
- 抜けている歯の数が多く、ブリッジで支えきれない
- ブリッジをするために健康な歯を削りなくない
- 審美的に入れ歯を使うのに抵抗がある
- 入れ歯の着脱がわずらわしい
- 入れ歯が気持ち悪くて装着できない
- 入れ歯が合わなくなった
- 交通事故の外傷などで歯を失ってしまった
インプラントができない場合
- 骨の量が少なくて、インプラントを入れる場所がない
- 全身的に手術が適さない


