2025年9月 院長毎日ブログ
2025年9月
本の執筆をさせていただきました。
9月1日より、デンタルダイヤモンドさんから出版されます。





歯科衛生士さん募集しています。
宜しくお願い致します。
9月はコウチセミナー開催

10月に半導体のレーザーのセミナー

9月1日(月)
午前は、朝礼のあとから
税理士の先生とミーティング。
9時から
半導体レーザー講演と実習の準備。

豚の下顎骨


午後は
東京からきていただき、採用コンサルさんと打ち合わせ

9月2日(火)

このセミナーの準備。

演者の先生とZOOM対談をしてその準備。

夜はこのセミナーの運営。
もちろん診療中は、診療しています。
診療時間外や後に仕事をしています。
9月3日(水)

ZOOMセミナー
1か月に1回、企画して開催して4ヶ月。
うまく運営ができるようになりました。
今日の診療のハイライトは
インプラントをしていただいた患者さんの歯をかぶせる日。
がんばって通院していただき、
「焼肉をバリバリ食べれるようになった」と言われました。
患者さんからの感謝の言葉は、
臨床をがんばる力になります。
9月4日(木)
午前はゴルフ
午後は、セミナーの動画の撮影依頼
夜はZOOMコンサル
まあまあ ギュツトつまった充実した日。
アスリート体系の糖質制限をしている先生が
仕事で海外で5日間いき、毎日パンが食事に出て
残さず食べていたら、5キロ太ったと言っていました。
簡単に人は太れることがわかり、驚いています。
9月5日(金)
電子処方箋の準備をレセコン会社と進めて行きます。
マウスピース矯正の準備も開始。
台風で時間が出来たので、
CHATGPTで文章作成

9月6日(土)
半導体レーザーの実習書の作成の確認
難症例インプラントOPEの準備
YouTubeをアップ
これを隙間時間に、やります。
最新のYouTubeを作成
インプラント埋入 ActionGate(GBR+CO2レーザー)を活用し、患者様説明しています。
わたし、忙しくなったり、ストレスがたまってくると、夜中にかなりの咬み締めをしています。
なので、マウスピースをはめて寝るようにしています。
歯の保護、筋肉の過緊張の緩和になるので
効果があります。
9月7日(日)


9月8日(月)
明後日のセミナー準備
そして検診へ名古屋へ
今日も35度超え
暑いです!
看板広告の会社にも連絡。
新しく出そうか検討中です。
9月9日(火)

セミナーの打ち合わせに来られた相田化学さんからいただいたお菓子。
いつもありがとうございます。

落ち着いたら、気合いをいれて準備していきます。
セミナー講師として、必要とされるのは、嬉しいことです。
9月10日(水)

満員御礼
19時30分~22時まで
質疑応答
延長で23時まで
先生方ありがとうございました。
9月11日(木)
今日は
保険会社の方と打ち合わせ。
ライフプランを考えていくと、なかなか難しい選択です。
昨日のセミナーが終わったので、もう一度今後の確認。
10月に3つ
デジタルマイクロスコープネクストビジョン
半導体レーザー ハンズオンセミナー

歯周病菌リアルタイムPCR検査セミナー

11月に1つ

12月に大阪で濱田社長とコラボセミナー
内容を整理して臨みます。
9月12日(金)
銀行から、借り入れ金利の見直しの件で連絡あり
保証人になっているので、同席します。
日銀が金利を上げているため、借り入れの金利が上がるのは
仕方がないですね。
今日の幹部ミーティングでは、来院のお休みカレンダーを確認してもらっています。
お盆休みの予定が判断が別れる日程になってます。
9月13日(土)
愛先生が、子どもの文化祭なので休診。
歯科衛生士学校の学生さんから見学の問い合わせをいただきました。
ありがたいことです。
最後に難症例の患者さんが上手に治せたので、自己満足ですが良い気分で連休に入れます。
明日から大阪でセミナー受講です。
9月14日(日)

大阪の心斎橋 ㈱ヨシダさんでセミナー受講
学術、臨床、経営の3本立てセミナー
9月15日(月)
今日の読書はこちら

10月から最低時給は上がり、保険点数は据え置き
というか、物価高、材料高を吸収できていない設計。
病院の7割は赤字となっている、不採算部門の科は閉鎖。
このままでは、立ち行かないのに、政治でしか絶対に改善できない。
与党でも、野党でも結局それは同じ。
本質から考えていかないと、いけないですが。
あとは、インプラント手術の準備。
9月16日(火)



ランチ会です~
夜は娘の運転に付き合います。

9月17日(水)

歯科雑誌より最新のトピックス

診療の合間に、銀行に借り入れの申し込み。
そして臨床研修医を預かりさきの先生と打ち合わせ。
9月18日(木)
ゴルフ、パーソナルジム
国際歯周内科学研究会秋季カンファレンスの打ち合わせ。
そして医療保険の打ち合わせ。


フルオーダーメイドのマイクロスコープを歯科衛生士さん導入します。
9月19日(金)
銀行借り入れレートを相談して
というか、お願いされて金額が決まりました。
レセプトコンピューターのハードとPC併せて647万円借り入れ5年返済です。
変動金利のレートは、相手先の業務に支障がでると良くないので。
個別で知りたい先生や業者さんは、連絡くださいませ~。

9月20日(土)
歯科衛生士学校の3年生の学生さんが2名
医院見学に来られました。
既に内定を出させていただいている歯科衛生士学校の学生さんがいますが、
今日の見学の方とも当院とこれから良いご縁があれば嬉しいです。
今日は明日のセミナーのため東京へ移動します。
9月21日(日)

東京で国際歯周内科研究会のマスターコース参加
来年は講師として参加するので、勉強しに来ています。

9月22日(月)


午前中は、半導体レーザーの講演の打ち合わせを東京の上野
(株)ヨシダさんで。
午後からは埼玉県川口市のうけがわ歯科さんへ医院見学



9月23日(火)


9月24日(水)
インプラントOPEの準備と
セミナー講演の準備。

ほぼ満席との報告をいただいており、
気が引き締まります。

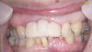
がんばって治しています

治療途中
9月25日(木)
明日のインプラントOPE頑張る
自分の能力で言うと、最大の力を発揮して
チャレンジする症例です。

何回も、何回も勉強シミュレーションしています。
すべては患者さんの希望を叶えるため。
9月26日(金)

インプラントOPE


無事に終わってほっとしています。
うまくできたので100点!
9月27日(土)

明日は、横浜のパシフィコ横浜会議センターで
日本歯科医学会学術大会に参加します。
農業をやろうかな~
9月28日(日)

そして執筆に関わらせていただいた本

9月29日(月)
午前中は、新しく変わった税理士の先生と打ち合わせ。
午後は保険屋さん
証券会社の口座は、なんとめんどくさいのか!?
あきらめて
法務局に書類を申請し、取りに行く。
完全な事務仕事の日です。
夜はアーカイブで、矯正の勉強をします。
9月30日(火)
夜は歯科医師会の会議へ参加しています。
セミナーが近づいて来ているので、集中力を高めています。
ギリギリまでスライドを作って、お役に立てれるようにしていきます。
今月も最後までお読みいただきありがとうございました。
10月もどうぞよろしくお願い致します。


