2025年12月 院長毎日ブログ
2025年12月
2025年も残り1か月です。
充実した1か月を過ごしていきたいです。
12月は2回講演、セミナー参加2回と相変わらずの生活です。
体調に気を付けて、走り抜けます。
案内をします。
医院近くの最寄りの富貴駅に
歯科衛生士専門学校奨学金制度についての看板を出しています。

相田化学さんからオンデマンド配信をしています。

1月27日まで見れますのでぜひ聞いてください。
12月14日に大阪で天野先生と濱田真理子社長と講演をします。

12月17日半導体レーザーの講演と実習をします。

本の執筆をさせていただきました。
「歯科のための位相差顕微鏡活用・実践マニュアル」
9月1日より、デンタルダイヤモンドさんから出版されました。
好評です。Amazonでも購入することができます。




どうぞよろしくお願い致します。

歯科衛生士さん募集しています。
宜しくお願い致します。
新卒は2人内定を出させていただきました。
あと数名募集しています。
既卒の歯科衛生士さんは引き続き募集をしています。
可能であれば、業者さんを通さずに、応募をしていただけると嬉しいです。
12月1日(月)
お昼に提携をしていただいている
歯科臨床研修医指導施設の講習会を受講します。
全国の先生方と意見交換をして、
臨床研修医の受け入れる心構えなどを学びました。
そのあと業者さんと打ち合わせ。
運転免許の更新へ
一応ゴールド免許10年以上継続。
私の運転レベルからすると、奇跡レベル。
12月2日(火)


薬局さんが開院されました。順次、当医院から処方箋を送らさせていただきます。
お昼に国際歯周内科学研究会の広報部会議
診療後は、理事会議
最後は、会員ZOOM交流会
1日に4本行う日でした

12月3日(水)
今日は寒くなりました。
冬が始まっていくのだなと感じます。
以前にゴルフを一緒にしたことのある知人が
メンテナンスに来てくれていました。
お孫さんは来院されていましたが、家族で受診されるようになりました。
ありがたいですね。
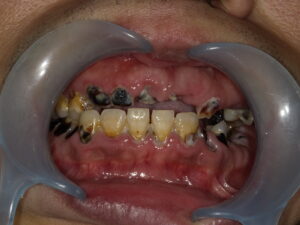
いま現在治療中の症例
治療前

現在の途中経過

仮の歯ですが、歯が入り、噛めるようになっています。
奥歯のかみ合わせを作っている治療の工程になります。
12月4日(木)
午前中は仲良し先生とゴルフ
そのあとは、ジム
クリニックに戻り、愛先生の診療の手伝いと雑務。
往診の日にちを患者さんの家族と相談して決めます。
セミナーの準備。意外と忘れるホテルの予約の確認。
夜は、子供とドンキへ

3Dアイスが流行っているらしいです。
大学2年生の長女が見つけて、
知らない間にカゴに入れて
購入していた模様(笑)
長女と同級生の方もこのブログを見ていただいているようで、ありがとうございます。
お茶目な娘をよろしくお願いいたします。
「部屋を片付けたほうがいいよ」と伝えてくださいませ~
12月5日(金)
処方箋を出す薬局さんへの対応
今ある薬の在庫確認。
午後から幹部会議。
そにあと診療のあとに
医院から20分かかる往診へ行きます。
帰り道の満月が奇麗でした。
海の水面に映る光が、また美しい。
写真では上手に伝わらない。
12月6日(土)
今日から幹部スタッフが有給含め4日お休み
医院はどう動いていくか。
あまり変わらないと思いますが、人に頼るシステムではなく、
組織でうどくシステムになっているので、問題はないと考えています。
インフルエンザ、コロナが流行っている中で、
キャンセルも数人で111人の患者さんが来院されてくださいました。
ありがたいことです。
診療後は、東京へ
セミナーを受講しに行きます。
長女 クオカード1000円分をあげるから
セントレア空港まで送るよう頼んだら
まさかの拒否。
ひどい奴だ! 運転にずっと付き合ってあげたのに。
3女
みよう見まねでお菓子を作る。

キャラメルマフィン
なかなか上手。
東京のホテルはお台場
初めて行きました。


東京タワーが見えた、嬉しい。
12月7日(日)



12月8日(月)
薬局さんと連絡 薬について相談
歯科業者さんと連絡・相談
講演業者さんとセミナー打ち合わせ
ボチボチと、仕事をしています。
12月9日(火)
昨夜の地震の情報を見て、
今一度当院での地震・災害対策のマニュアルについて確認をします。
漁師の患者さんからのいただきもの

今日は動画撮影の日


12月10日(水)
スタッフさんと面談
良い結果になり、ほっとしています。
医院にとっても、本人にも、患者さんにも良かった。
そろそろ最終のスライド確認に入ります。


12月11日(木)
同級生がデジタルマイクロスコープ
ネクストビジョンを見学に来られました。


スタッフさんのお土産

12月12日(金)
午後のアポを予めいれずに、幹部会議。
医院にとって良い話の重要な案件あり。
姉妹で2名の歯科衛生士が福岡で小児矯正のセミナー受講のためお休み。
1名は幹部なので、録音して聞いてもらう予定です。
新規で来院された患者様
私の地元から紹介で見えました。40分くらいかけて来てくれます。
ありがたいです。
12月13日(土)
今日は110名を超える患者さんに来ていただきました。
ありがとうございます。
明日の講演のため、途中で上がらせてもらい、大阪に向かいます。
大阪の山田先生と芦屋の飛田先生と勉強会

12月14日(日)
大阪でセミナー

大阪大学天野先生の講演
とっても勉強になりました。

講演前にたこ焼きでリラックス

天野先生と写真を撮ってもらいました。



懇親会
2次会
3次会
と午前2時まで
おじさんはとても眠くて、撃沈しました。

エイチエムコレクションの皆様
お世話になりました。
12月15日(月)
濱田真理子社長と新大阪駅で食事

色々と、教えていただきました。
また新たなチャレンジをしようという
前向きな気持ちになれました。
必ずやろうと決めました。
医院に戻り、歯科技工士さんと症例相談。
12月16日(火)
院内ランチ会

院内勉強会


今日は年末が近づいているためか、 115人もの患者さんが来ていただきました。
感謝です。
夜はZOOMで勉強会
12月17日(水)
全然仕事とは関係なのですが、年金について調べていました。
年金は、年6回、2月、4月、6月、8月、10月、12月の偶数月の15日に支払われます
もし15日が土曜日、日曜日、祝日だったときは、その直前の平日になります。たとえば、4月に支払われる年金は、その前月の2月・3月分です。
支給される年金額については、毎年6月に「年金振込通知書」にて案内があります。ここに記載されるのは、2カ月分の年金額です。
また、年金からは、国民健康保険料・介護保険料・住民税なども2カ月分が天引きされます。
私が65歳で年金支給時に、私が医療法人を経営して、院長で歯科医業に従事していたとしたら、
国民健康保険と介護保険料と住民税支払ったら、年金は0になるか
または、マイナスで支払うことになるかもしれません。
ほぼ年金ないやん。日本は恐ろしい税金大国や。
仕事した分を納税するということですね。
半導体レーザーの講演のため、
午前診療。午後から東京へ





12月18日(木)
年末が近づくにつれて、予定をぎゅう詰めにしていたしわ寄せがきています。
体調がベストパフォーマンスではなく、思ったより、回復が遅い。
原因は、予定を詰めすぎ。
これでも昨年より予定を詰めておらず、マシになったのは
忘年会の予定をできるだけ入れないようにしているからです。
通年は、毎週1回は忘年会と称した飲み会があります。
今年はまだ3回だけなので、自分としては控えめなほうです。
残りあと1回だけ。忘年会を何回か断ることもしました。
今年の診療も今週はあと2日、そして来週28日から年末年始休みに入るので、
最後までしっかりやりきれるように、体調を整えていきます。
12月19日(金)

12月20日(土)
今日、誕生日です。

12月21日(日)



12月22日(月)
朝 顧問税理士と打ち合わせ
上半期の収益の確認と上がり続ける人件費や材料費などの
昨年度との比較。
医院の方向性の確認などなど。
12月23日(火)
今日は全スタッフミーティング。
かなり突っ込んだ会議ができています。
準備してくれた幹部に感謝ですね~。
夜は歯科医師会参加。
12月24日(水)
クリスマスイブですね~
わたくしとスタッフさんは何も特に変わらない1日で診療をしています。
皆様が幸せな1日が過ごせますように~
診療の合間に資料の作成作り
レセコン業者さん対応

そして年賀状準備

12月25日(木)
今日も診療です
頑張ります!
患者さんからいただいたお歳暮

南知多名物 波まくら
ありがとうございます。
12月26日(金)
あと2日、頑張ります!
今日も患者さんからいただきました!
地元名産 美浜っ子
とっても美味しい、高級ブランドみかんです


スタッフさんがみんなに配っています。
12月27日(土)
仕事納めです。
診療が終わる最後まで、走り切ります!
今日も患者さんからのいただきもの。

漁師の患者さんからの小女子の佃煮

農家の患者さんから人参

スタッフさんみんなで取り分け、おすそ分け

最後の最後まで急患の患者さんを診て、仮りの歯を11本作って
2025年の診療を終わりました。
1年間ありがとうございました。
スタッフさんにも1人、1人挨拶をして
「来年もよろしくお願いします」を伝え終了しました。
12月28日(日)
診療は終了となり、ここからはプライベート寄りなブログを更新していきます。
家族旅行 香港 私と妻と長女と次女の4人

香港国際空港でスーツケース壊れて出てくるからのスタート

世界一長いエスカレーター
夜景の綺麗な香港

12月29日(月)
香港ディズニーランド

長女ご所望のオラフのソフトクリーム1400円
円安とインフレを教えてくれます。
12月30日(火)
船で隣国のマカオへ

世界遺産の前で家族写真
12月31日(水)
最終日
香港の有名なお寺で祈祷とおみくじ

占いで来年も仕事は順調と言われ、やる気がみなぎりました。
そして
帰国時も中部空港で別のスーツケースが壊れて出てくるのオチあり
さて1年ブログを読んでくださり、ありがとうございました。
開業を目指している先生や勤務医師の先生、患者さんや業者さん、スタッフさんも
見ていただきました。
「ブログを見てるよ」のお声がけがとても励みになります。
2026年もどうぞよろしくお願いいたします。


